Nadelen en gevolgen van blijven roken:

Iedereen weet dat roken slecht is, voor je longen, je hart, je portemonnee en je toekomst. Toch doen meer dan een miljard mensen het elke dag. De tabaksindustrie verdient eraan, terwijl jouw gezondheid eraan onderdoor gaat.
Veel rokers blijven roken omdat ze denken dat het “even lekker” is of bij hun leven hoort. De eerste sigaret in de ochtend, na het eten, op een feestje. Maar die momenten wegen niet op tegen de schade die het aanricht. Stoppen lijkt zwaar, met afkickverschijnselen, stress en ongemak. Toch is het tijdelijk. En de gevolgen van blijven roken? Die zijn blijvend.
🛑 De realiteit van blijven roken:
-
Meer dan de helft van de rokers overlijdt vroegtijdig aan een rookgerelateerde ziekte
-
Rokers leven gemiddeld 10 jaar korter dan niet-rokers
-
Jaarlijks sterven er 20.000 Nederlanders door roken, meer dan door alcohol, drugs, verkeer en geweld bij elkaar
-
Passief roken schaadt ook de mensen om je heen
-
De meeste rokers hebben spijt, maar dan is het vaak te laat
🔟 Gevolgen van blijven roken:
-
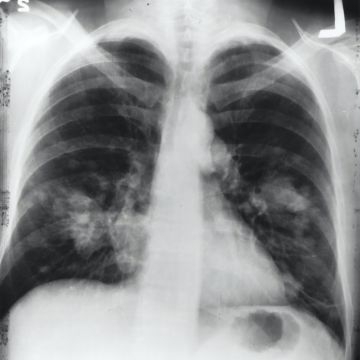
Kanker – verhoogd risico op long-, keel-, en blaaskanker
-
Hart- en vaatziekten – o.a. verhoogde kans op hartaanval en beroerte
-
Chronische longziekten – zoals COPD en bronchitis
-
Zwakker immuunsysteem – vatbaarder voor infecties
-
Minder vruchtbaar – bij mannen én vrouwen
-
Psychische klachten – verhoogde kans op angst en depressie
-
Sterke verslaving – met heftige ontwenningsverschijnselen
-
Hoge kosten – gemiddeld €3.000 per jaar aan sigaretten
-
Snelle veroudering – gele tanden, grauwe huid, slechtere adem
-
Sociale beperkingen – steeds minder plekken waar je kunt roken
Wil je meer weten over de gevolgen van roken? Bekijk hier de lange lijst met 100 gevolgen van roken!
Maar… afkicken valt mee
Afkickverschijnselen zijn tijdelijk. Denk aan:
Prikkelbaarheid, slecht slapen, meer eetlust, hoofdpijn, somberheid of onrust.
Gelukkig duren ze bij de meeste mensen slechts 3 tot 7 dagen. Wat het écht moeilijk maakt, is de gewoonte, niet de nicotine.
💡 Daarom werkt No-Garette:
-
Helpt je stap voor stap afkicken, eerst lichamelijk, dan mentaal
-
Vervangt sigaretten tijdelijk met 100% natuurlijke NoGarettes
-
Geeft je rust, zonder nicotine of gifstoffen
-
Ondersteunt je volledig met het No-Garette Stop-plan
Je lichaam wil stoppen. Geef het die kans.
Hoe lang of hoe veel je ook hebt gerookt: het is nooit te laat.
Je lichaam begint direct met herstellen zodra je stopt.
Laat roken je leven niet bepalen. Kies vandaag nog voor jezelf.
👉 Zeg nee tegen de sigaret. Zeg ja tegen leven.
Bestel je Stop Pakket van No-Garette
